1.1.3.1.1 De klinker
i
De i is een
ongeronde, gesloten (hoge),
gespannen
voorklinker. Deze klinker komt voor in woorden als
De klank wordt in het algemeen als ie
gespeld, maar als i in open
lettergrepen van veel uitheemse woorden: de punt geeft in (1c) de
lettergreepgrens aan. In gesloten lettergrepen wordt
i als
ie gespeld, zoals in (1b). Figuur
1 toont de positie van
i in het
klinkerdiagram.
Figuur 1. Positie van
i
in het klinkerdiagram (Bron: Gussenhoven 1992: 47)
Verder lezen
Articulatie
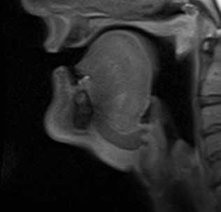
De i is een
ongeronde, hoge, gespannen voorklinker. Bij de productie van
i
verplaatst het hele tonglichaam zich naar voren in de mondholte, terwijl de
tongpunt laag blijft. Figuur 2 is een MRI-afbeelding van de
i in
Piet, gerealiseerd door een
mannelijke spreker uit de Randstad.
Figuur 2. MRI-afbeelding van de
i
in Piet. Bron: Rietveld
& Van Heuven (2016: 67).
Duur
Fonetisch gezien is
i een
korte klank, maar een langere allofoon
i:
treedt op als er een
r volgt
(zie 1.1.4.3
Klinkerverandering voor
r);
de i wordt
daarom ook wel half-lang genoemd.
Zie Gussenhoven (1993). Botma & Van Oostendorp (2012: 149) betogen
echter dat verlenging van een klinker voor
r
niet beperkt is tot de hoge klinkers i,
y, u, maar zich bij alle
klinkers voordoet (vgl. 't Hart 1969, Collins & Mees 1984).
De duur van klinkers wordt beïnvloed door
eigenschappen van omgevingsklanken; zo duurt een klinker relatief kort voor een
stemloze medeklinker en langer voor een stemhebbende medeklinker.
Zie Rietveld & Van Heuven (2016: 281).
Verder zijn ook factoren als spreekstijl en spreeksnelheid van invloed
op de absolute duur. Volgens Van der Harst (2011: 323-324) is de gemiddelde duur
van de i
voorafgaand aan respectievelijk een
s en
een t 97 ms en
101 ms in het Nederlands-Nederlands, en 95 ms en 98 ms in het Belgisch
Nederlands.Regionale variatie
In het Nederlands-Nederlands wordt
i voor
r door
sommige sprekers niet zozeer verlengd, maar
gecentraliseerd: er is diftongisering, namelijk verglijding
in de richting van
ə (bijv.
bier klinkt als
bi:əɻ
).
).
Zie Collins & Mees (1984: 114).
Afhankelijk van het type
r dat
volgt op de i
zal er eerder sprake zijn van verlenging, dan wel van diftongisering.
Diftongisering doet zich met name voor bij sprekers die een
approximante realisatie van
r
(bijv. de retroflexe of Gooise
r) hebben.
Botma & Van Oostendorp (2012: 149).
De diftongisering van de klinker kan ook samengaan met het wegvallen van
de r en wordt
in dat geval beschouwd als een vocalische realisatie van de erop volgende
r.
Zie Sebregts (2015: 217-220).
Akoestische eigenschappen van de klinker i
Hieronder worden een aantal voorbeeldzinnen gepresenteerd waarin
i in
verschillende fonologische contexten voorkomt. Telkens wordt ook het bijhorende
geluidsbestand, de golfvorm en het spectrogram gegeven.
Tabel 1 bevat voorbeelden uit het Nederlands-Nederlands, Tabel 2 uit het
Belgisch-Nederlands. Zie het Taalportaal voor een overzicht van de referentiewaarden voor de
eerste en tweede formant (F1 en F2) van de
i in
het Nederlands-Nederlands en Belgisch-Nederlands.
Tabel 1. Geluidsbestanden, golfvormen en spectrogrammen voor
i in verschillende
fonologische contexten in het Nederlands-Nederlands
| Woordgroep | Fonologische context | Geluidsbestand | Golfvorm/spectrogram |
| ik zie het | woordfinaal | ![]() |
![]() |
| hij trok een vies gezicht | vóór obstruent | ![]() |
![]() |
| met vier kinderen | vóór vloeiklank | ![]() |
![]() |
Tabel 2.Geluidsbestanden, golfvormen en spectrogrammen voor
i in
verschillende fonologische contexten in het Belgisch-Nederlands.
| Woordgroep | Fonologische context | Geluidsbestand | Golfvorm/spectrogram |
| ik zie ik zie wat jij niet ziet | woordfinaal | ![]() |
![]() |
| ik ben niet vies van werken | vóór obstruent | ![]() |
![]() |
| nog vier jaar lang | vóór vloeiklank | ![]() |
![]() |
Fonologische analyse van de klinker i
-
Distinctieve kenmerkenDe distinctieve kenmerken van i kunnen als volgt worden gespecificeerd: [+hoog, –laag, +gespannen, –rond, –achter].
-
/i/ als gespannen klinkerDe i is een gespannen klinker, ondanks het feit dat i fonetisch gezien kort is, terwijl gespannen klinkers – als ze in beklemtoonde positie staan – fonetisch lang zijn (zie 1.1.4.1 Variatie in klinkerlengte).Zie Rietveld et al. (2004), Gussenhoven (2009).De reden waarom i (evenals y en u) toch als een gespannen klinker wordt geanalyseerd, is het gedrag van i in het rijm van lettergrepen:Zie ook 1.2.1.2 Het rijm.ongespannen klinkers kunnen immers niet optreden in open lettergrepen, terwijl i dat wel kan (zie de voorbeelden in 1a en 1c). De klinkers i, y en u worden ook wel als half-lang aangeduid.
Literatuur
Eijkman (1937), ’t Hart (1969), Collins & Mees (1984), Gussenhoven
(1992), Gussenhoven (1993), Collins & Mees (1984); Collins & Mees
(2003), Rietveld et al. (2004), Adank et al. (2004), Gussenhoven (2009), Jacobi
(2009), Van der Harst (2011), Botma & Van Oostendorp (2012), Sebregts
(2015), Rietveld & Van Heuven (2016).
Literatuur
Interessante links
ANS
Taaladvies
Dagenta
Taalportaal
Versiegeschiedenis
| versie | redacteur(en) | datum | opmerkingen |
| 3.0 | Kathy Rys | november 2020 | |
| 2.1 | januari 2019 | Automatische conversie van ANS 2.0 | |
| 2.0 | W. Haeseryn, K. Romijn, G. Geerts, J. de Rooij, M.C. van den Toorn | 1997 | hoofdstuk 1,../../data/archief/ans2/e-ans/01/body.html; |






