1.1.3.1.4 De klinker
ø
De ø is een
gerond, half gesloten,
gespannen
voorklinker. Deze klinker komt voor in woorden als
De klank wordt in alle gevallen als eu
gespeld. Figuur 1 toont de positie van
ø in
het klinkerdiagram.
Figuur 1. Positie van
ø
in het klinkerdiagram (Bron: Gussenhoven 1992: 47)
Verder lezen
Articulatie
ø is een
geronde, half gesloten, gespannen voorklinker. Bij de productie van
ø
verplaatst het hele tonglichaam zich naar voren en naar boven in de mondholte,
terwijl de tongpunt laag blijft. De articulatie van
ø
verschilt van die van
e door de
aanwezigheid van lipronding, een iets lagere stand van de tong, en een tong die
iets meer naar achteren beweegt. Door de lipronding is de voorholte relatief
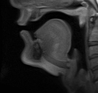
groot. Figuur 2 is een MRI-afbeelding van de
ø in
peut, gerealiseerd door een
mannelijke spreker uit de Randstad.
Figuur 2. MRI-afbeelding van de
ø
in peut (Bron: Rietveld
& Van Heuven 2016: 67)
Duur
De ø is
fonetisch gezien lang. Voor
r
wordt ø nog
langer gerealiseerd. De absolute duur hangt onder andere af
van factoren als spreekstijl en spreeksnelheid. Volgens Van der Harst (2011:
323-324) is de gemiddelde duur van de
ø
voorafgaand aan respectievelijk een
s en
een t 216 ms
en 172 ms in het Nederlands-Nederlands, en 210 ms en 164 ms in het Belgisch
Nederlands.
Regionale variatie
In het Nederlands-Nederlands wordt
ø als
een stijgende diftong gerealiseerd, namelijk als
øy
of met een nog opener beginklank, bijna als
œy,
Zie Jacobi (2009).
terwijl deze klank in het Belgisch-Nederlands altijd als
monoftong wordt gerealiseerd (zie ook 1.1.2.1.1 De
uitspraak van diftongen).
Zie Verhoeven (2005).
Deze diftongering van
ø treedt
niet op voor
r,
omdat er zich dan centralisatie voordoet (bijv.
geur klinkt als
xø:əɻ
).
Er is met name centralisatie voorafgaand aan een approximante realisatie
van r;
zie Botma & Van Oostendorp (2012: 149); Sebregts (2015).
Deze centralisatie, namelijk een beweging naar een centralere klinker
(sjwa), gaat niet samen met diftongering van
ø tot
øy,
aangezien er in dat laatste geval juist een beweging is naar een geslotener
klinker (de
y).
Zie Booij (1995: 6).
Ook voor een zogenaamde donkere /l/ is er centralisatie van de
voorklinker ø
naar een centralere, meer naar onder en achter gelegen sjwa.
Zie Collins & Mees (1984: 115).
Veel sprekers in de Randstad hebben laxing van
ø,
meer specifiek van alle gespannen middenklinkers:
ø, e,
o) voor
r en
l. Dit
wil zeggen dat de
ø meer
naar achteren en meer in de richting van zijn ongespannen tegenhanger wordt
gerealiseerd, dus meer als
ʏː.
Het gevolg is een ‘bijna-neutralisatie’ van contrasten als
beul vs.
bul
.
.
Zie Botma et al. (2012).
Akoestische eigenschappen van de klinker ø
Tabellen 1 en 2 geven een aantal voorbeeldzinnen met
ø in
verschillende fonologische contexten voor het Nederlands-Nederlands en Belgisch
Nederlands. Een overzicht van de referentiewaarden voor de eerste en tweede
formant (F1 en F2) van de
ø in
het Nederlands-Nederlands en Belgisch-Nederlands wordt gegeven op Taalportaal .
Tabel 1. Geluidsbestanden, golfvormen en spectrogrammen voor
ø in
verschillende fonologische contexten in het Nederlands-Nederlands.
| Woordgroep | Fonologische context | Geluidsbestand | Golfvorm/spectrogram |
| we zijn het beu | woordfinaal | ![]() |
![]() |
| niet dat ie een keus had | vóór obstruent | ![]() |
![]() |
| nog steeds geven beide invloeden het leven in het meest zuidelijke deel van Nederland kleur | vóór vloeiklank | ![]() |
![]() |
Tabel 2. Geluidsbestanden, golfvormen en spectrogrammen voor
ø in
verschillende fonologische contexten in het Belgisch-Nederlands.
| Woordgroep | Fonologische context | Geluidsbestand | Golfvorm/spectrogram |
| die is dat beu | woordfinaal | ![]() |
![]() |
| omdat ik geen keus heb | vóór obstruent | ![]() |
![]() |
| (…) een onverwachte kleur haar | vóór vloeiklank | ![]() |
![]() |
Fonologische analyse van de klinker ø
-
Distinctieve kenmerkenDe distinctieve kenmerken van ø kunnen als volgt worden gespecificeerd: [–hoog, –laag, +gespannen, +rond, –achter].
-
/ø/ als gespannen klinkerDe ø wordt door sommige fonologen wel beschouwd als de gespannen tegenhanger van ʏ, hoewel er geen woordparen bestaan waarin ø alterneert met ʏ.Het akoestische verschil tussen ø en ʏ is in Vlaanderen veel groter dan in Nederland: ø is in het Belgisch-Nederlands een stuk geslotener dan ʏ, terwijl er in het Nederlands-Nederlands nauwelijks verschil is. Daarom betogen Verhoeven & Van Bael (2002) dat het Belgisch Nederlands op fonetisch niveau een klinkersysteem met 5 openingsgraden heeft, terwijl het Nederlands-Nederlands een systeem met 4 openingsgraden heeft.
Literatuur
Eijkman (1937), Collins & Mees (1984), Gussenhoven (1992),
Gussenhoven (1993), Adank et al. (2004), Verhoeven (2005), Jacobi (2009), Van
der Harst (2011), Botma et al. (2012), Sebregts (2015), Rietveld & Van
Heuven (2016).
Literatuur
Interessante links
ANS
Taaladvies
Dagenta
Taalportaal
Versiegeschiedenis
| versie | redacteur(en) | datum | opmerkingen |
| 3.0 | Kathy Rys | november 2020 | |
| 2.1 | januari 2019 | Automatische conversie van ANS 2.0 | |
| 2.0 | W. Haeseryn, K. Romijn, G. Geerts, J. de Rooij, M.C. van den Toorn | 1997 | hoofdstuk 1,../../data/archief/ans2/e-ans/01/body.html; |






