1.1.3.1.13 De klinker
ɔ
De ɔ is een
gerond, half open,
ongespannen
achterklinker. Deze klinker komt voor in woorden als
motmɔt
,
zon
zɔn en
trol
trɔl. De klank
wordt altijd als <o> gespeld. Figuur 1 toont de positie van
ɔ in
het klinkerdiagram.
,
zon
zɔn en
trol
trɔl. De klank
wordt altijd als <o> gespeld. Figuur 1 toont de positie van
ɔ in
het klinkerdiagram.Figuur 1. Positie van
ɔ
in het klinkerdiagram (Bron: Gussenhoven 1992: 47)
.Verder lezen
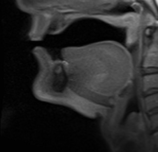
Articulatie
De ɔ is een
geronde, half open, ongespannen achterklinker. Bij de articulatie van
ɔ is
het hele tonglichaam wat naar boven geheven en naar achteren teruggetrokken.
Figuur 2 is een MRI-afbeelding van de
ɔ in
pot, gerealiseerd door een
mannelijke spreker uit de Randstad.
Figuur 2. MRI-afbeelding van de
ɔ
in pot (Bron: Rietveld &
Van Heuven 2016: 67)
Duur
De ɔ is
fonetisch gezien kort. De absolute duur hangt onder andere
af van factoren als spreekstijl en spreeksnelheid. Volgens Van der Harst (2011:
323-324) is de gemiddelde duur van de
ɔ
voorafgaand aan respectievelijk een
s en
een t 125 ms
en 87 ms in het Nederlands-Nederlands, en 99 ms en 75 ms in het Belgisch
Nederlands.
Regionale variatie
De ɔ wordt in
het Belgisch-Nederlands hoger in de mond (geslotener) gerealiseerd dan in het
Nederlands-Nederlands het geval is.
Zie Adank et al. (1999).
Allofonische variatie
Akoestische eigenschappen van de klinker ɔ
Tabellen 1 en 2 geven een aantal voorbeeldzinnen met
ɔ in
verschillende fonologische contexten voor het Nederlands-Nederlands en Belgisch
Nederlands. Een overzicht van de referentiewaarden voor de eerste en tweede
formant (F1 en F2) van de
ɔ in
het Nederlands-Nederlands en Belgisch-Nederlands wordt gegeven op Taalportaal .
Tabel 1. Geluidsbestanden, golfvormen en spectrogrammen voor
ɔ in
verschillende fonologische contexten in het Nederlands-Nederlands.
| Woordgroep | Fonologische context | Geluidsbestand | Golfvorm/spectrogram |
| die Amerikanen zijn zot | vóór obstruent | ![]() |
![]() |
| hij schuift aan in de kring en kijkt rond | vóór sonorant | ![]() |
![]() |
| vol wonderlijke dingen | vóór vloeiklank | ![]() |
![]() |
Tabel 2. Geluidsbestanden, golfvormen en spectrogrammen voor
ɔ in
verschillende fonologische contexten in het Belgisch-Nederlands.
| Woordgroep | Fonologische context | Geluidsbestand | Golfvorm/spectrogram |
| ga weg, oude zot | vóór obstruent | ![]() |
![]() |
| de groeven rond zijn mondhoeken | vóór sonorant | ![]() |
![]() |
| het staat er vol ski’s | vóór vloeiklank | ![]() |
![]() |
Fonologische analyse van de klinker ɔ
-
Distinctieve kenmerkenDe distinctieve kenmerken van ɔ kunnen als volgt worden gespecificeerd: [–hoog, –laag, –gespannen, +rond, +achter].
-
/ɔ/ als ongespannen klinkerDe ɔ wisselt af met o in een aantal woordparen zoals in lot – loten
(en het
verkleinwoord lootje). Om
die reden wordt
ɔ
wel als de ongespannen tegenhanger van
o
beschouwd. Een bijkomend argument hiervoor is dat
o
als een soort lange
ɔ:
gerealiseerd wordt voor
r
en l.
Zie Botma et al. (2012).
Literatuur
Eijkman (1937), Collins & Mees (1984),
Gussenhoven (1992), Adank et al. (1999), Adank et al. (2004), Rietveld et al.
(2004), Van der Harst (2011), Botma et al. (2012), Rietveld & Van Heuven
(2016).
Literatuur
Interessante links
ANS
Taaladvies
Dagenta
Taalportaal
Versiegeschiedenis
| versie | redacteur(en) | datum | opmerkingen |
| 3.0 | Kathy Rys | november 2020 | |
| 2.1 | januari 2019 | Automatische conversie van ANS 2.0 | |
| 2.0 | W. Haeseryn, K. Romijn, G. Geerts, J. de Rooij, M.C. van den Toorn | 1997 | hoofdstuk 1,../../data/archief/ans2/e-ans/01/body.html; |






