1.1.3.1.7 De klinker
u
De u is een
gerond, gesloten,
gespannen
achterklinker. Deze klinker komt voor in woorden als
De u wordt in
alle gevallen gespeld als oe. Figuur 1
toont de positie van
u in het
klinkerdiagram.
Figuur 1. Positie van
u
in het klinkerdiagram (Bron: Gussenhoven 1992: 47)
Verder lezen
Articulatie
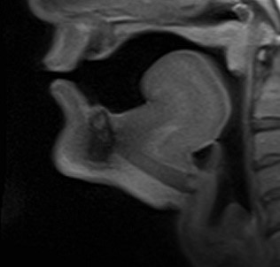
De u is een
geronde, gesloten, gespannen achterklinker. Bij de articulatie van
u
wordt het tonglichaam naar achteren en omhoog bewogen, terwijl de tongpunt laag
blijft. De voorholte is relatief groot, onder meer door lipronding, evenals de
achterholte, door verlaging van het strottenhoofd. Figuur 2 is een
MRI-afbeelding van de
u in
poet, gerealiseerd door een
mannelijke spreker uit de Randstad.
Figuur 2. MRI-afbeelding van de
u
in poet (Bron: Rietveld
& Van Heuven 2016: 67)
Duur
Fonetisch gezien is
u een
korte klank, maar voor een
r
verschijnt de lange allofoon
u:;
de u wordt
ook wel als half-lang gekarakteriseerd. De absolute duur
hangt onder andere af van factoren als spreekstijl en spreeksnelheid. Volgens
Van der Harst (2011: 323-324) is de gemiddelde duur van de
u
voorafgaand aan respectievelijk een
s en
een t 108 ms
en 99 ms in het Nederlands-Nederlands, en 98 ms en 91 ms in het Belgisch
Nederlands.
Regionale variatie
In het Nederlands-Nederlands is er behalve verlenging ook, afhankelijk van
spreker en type
r, centralisatie van
u voor
r: er
is diftongisering in de richting van
ə
(bijv. boer klinkt als
bu:əɻ
).
Zie Collins & Mees (1984: 114); diftongisering komt met name voor
voorafgaand aan een approximante realisatie van
r,
zie Botma & Van Oostendorp (2012: 149), Sebregts (2015).
Akoestische eigenschappen van de klinker u
Tabellen 1 en 2 geven een aantal voorbeeldzinnen met
u in
verschillende fonologische contexten voor het Nederlands-Nederlands en Belgisch
Nederlands. Een overzicht van de referentiewaarden voor de eerste en tweede
formant (F1 en F2) van de
u in
het Nederlands-Nederlands en Belgisch-Nederlands wordt gegeven op Taalportaal .
Tabel 1. Geluidsbestanden, golfvormen en spectrogrammen voor
u in
verschillende fonologische contexten in het Nederlands-Nederlands.
| Woordgroep | Fonologische context | Geluidsbestand | Golfvorm/spectrogram |
| die nooit moe worden | woordfinaal | ![]() |
![]() |
| met zijn hoge hoed | vóór obstruent | ![]() |
![]() |
| dat vet heeft wel degelijk een doel | vóór vloeiklank | ![]() |
![]() |
Tabel 2. Geluidsbestanden, golfvormen en spectrogrammen voor
u in
verschillende fonologische contexten in het Belgisch-Nederlands.
| Woordgroep | Fonologische context | Geluidsbestand | Golfvorm/spectrogram |
| ze zag er moe uit | woordfinaal | ![]() |
![]() |
| dat je je hoed niet verkreukelt | vóór obstruent | ![]() |
![]() |
| het doel van deze militaire interventie | vóór vloeiklank | ![]() |
![]() |
Fonologische analyse van de klinker u
-
Distinctieve kenmerkenDe distinctieve kenmerken van u kunnen als volgt worden gespecificeerd: [+hoog, –laag, +gespannen, +rond, +achter].
-
/u/ als gespannen klinkerNet als i en y, is u een gespannen klinker, hoewel ook u fonetisch gezien een korte realisatie heeft, behalve voor r, waar de lange allofoon u: optreedt. Door zijn gedrag in het rijm van lettergrepen wordt u toch als een gespannen klinker geanalyseerd: u kan namelijk in open lettergrepen verschijnen zoals in de voorbeelden in (1a).
Literatuur
Collins & Mees (1984), Gussenhoven (1992), Gussenhoven (1993), Adank
et al. (2004), Verhoeven (2005), Jacobi (2009), Van der Harst (2011),
Botma & Van Oostendorp (2012), Sebregts (2015), Rietveld & Van
Heuven (2016).
Literatuur
Interessante links
ANS
Taaladvies
Dagenta
Taalportaal
Versiegeschiedenis
| versie | redacteur(en) | datum | opmerkingen |
| 3.0 | Kathy Rys | november 2020 | |
| 2.1 | januari 2019 | Automatische conversie van ANS 2.0 | |
| 2.0 | W. Haeseryn, K. Romijn, G. Geerts, J. de Rooij, M.C. van den Toorn | 1997 | hoofdstuk 1,../../data/archief/ans2/e-ans/01/body.html; |







